Restoring Form, Function & Confidence After Facial Trauma
At Bergen Oral & Maxillofacial Surgery, our surgeons maintain active affiliations with leading hospitals across New Jersey – and select New York hospitals when needed – allowing our team to provide immediate, expert trauma care when severe facial injuries occur. This case highlights how Dr. Feuerstein and team restored facial form, function, and projection for a patient who suffered significant facial trauma.
In this article, you’ll learn:
- How ZMC and orbital floor fractures are diagnosed and surgically corrected
- How custom facial plating systems and cutting guides improve outcomes
- Why hospital affiliations matter in trauma cases
- How oral & maxillofacial surgeons manage much more than wisdom teeth
- What patients can expect from facial trauma reconstruction
- The role of technology in restoring facial structure and eye support
The Trauma Case: A Community Patient in Critical Need
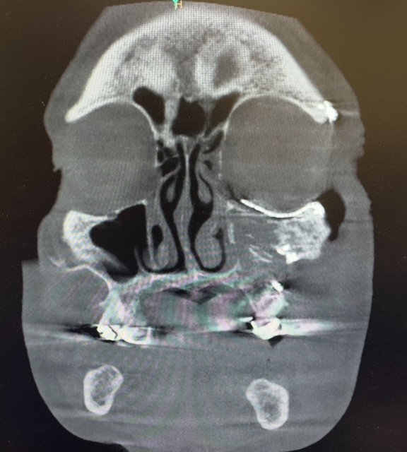
A young male patient presented to Hackensack University Medical Center after sustaining facial injuries subsequent to physical assault. As part of our NJ/NY hospital affiliations, Dr. Feuerstein and team were called to evaluate and treat the case. Imaging confirmed a left Zygomaticomaxillary Complex (ZMC) fracture and a left orbital floor fracture. These injuries affected midface projection, cheekbone position, and the structural support beneath the left eye. Without surgical repair, the patient risked:
- Long-term facial asymmetry
- Vision changes or double vision
- Altered eye position
- Chronic pain
- Permanent changes to facial contour

How Are ZMC Fractures and Orbital Floor Fractures Repaired?
Because of the complexity of the fractures, Dr. Feuerstein and team utilized advanced digital planning technology before entering the operating room. This included:
- 3D visual surgical planning
- Custom-designed plates for precise bone repositioning
- Cutting guides that act as templates for accurate reconstruction
Learn more about how 3D Imaging Enhances Your Oral Surgery Experience.

Surgical Reconstruction Performed by Dr. Feuerstein and Team
Before addressing each fracture individually, the surgical team created a comprehensive plan to restore the patent’s facial symmetry, orbital support, and midface structure. Every step was aligned with the virtual model developed prior to surgery.
Open Reduction and Internal Fixation (ORIF)
The Left ZMC fracture required meticulous repositioning of displaced bone segments. Using multiple surgical approaches to access the facial skeleton, the custom plates designed in the planning phase, secured the cheekbone into its correct anatomical location.
How Was the Orbital Floor Rebuilt?
To restore proper support beneath the eye, the team placed a custom orbital floor implant. This prevented long-term complications such as:
- Eye drooping or sinking backward
- Double vision
- Pain or pressure around the eye
- Facial asymmetry
Custom implants allow for a near-exact recreation of the patient’s natural orbital anatomy.

Post-Operative Outcome and Recovery
The patient recovered well following surgery. Facial projection, symmetry, and functional stability were restored – along with support for the left eye. This case reflects the depth of training oral and maxillofacial surgeons undergo. Beyond wisdom teeth and dental implants, Bergen Oral & Maxillofacial surgeons are extensively trained in:
We offer availability for same-day and emergency appointments when urgent care is needed, ensuring patients receive immediate evaluation and treatment.
Ready to Learn More or Need Trauma Expertise?
If you or a loved one has experienced facial trauma, or are seeking highly trained surgeons for facial reconstructions, Bergen Oral & Maxillofacial Surgery is here to help.
We proudly treat patients across New Jersey and New York through our office locations and hospital affiliations, ensuring access to advanced, compassionate care.
Our practice has been serving Bergen County with patient-centered expert oral care for more than 70 years. Our four convenient locations in Franklin Lakes, Hackensack, Paramus, and Westwood have received a combined 2,000+ Google reviews—and an average rating of 4.9 stars.
If you’re concerned about a facial injury or need expert evaluation after trauma, don’t wait to reach out. Call or text our team at (201) 477-2667 or request an appointment online.
Personalized, gentle, comprehensive patient care is our number one priority.
Facial Trauma Reconstruction (FAQ)
What is a Zygomaticomaxillary Complex (ZMC) Fracture?
A ZMC fracture involves the cheekbone and surrounding structures, often affecting facial projection, symmetry, and eye support.
How are Orbital Floor Fractures Repaired?
They are typically reconstructed using plates designed to support the eye, restore contour, and prevent long-term complications.
How Long Does Recovery Take After ZMC or Orbital Floor Surgery?
Most patients heal significantly within a few weeks, though full recovery, including swelling resolution and bone healing, may take several months.
Are Custom Plates and Guides Really Necessary?
Custom-designed hardware improves surgical precision, restores natural symmetry, and often reduces operating time.





